Dental Crowns & Bridges
At Tempe Family Dental, Drs. LeSueur and Davis create restorations to bring your smile back to its original beauty. If you have lost the better part of a tooth to decay or trauma, we can craft a natural-looking dental crown or bridge to restore proper dentition and a beautiful smile.
If you have a damaged tooth that needs a dental crown, call our Tempe, Arizona dental office to learn more about crowns and bridges. Request an appointment online or call us at 480-838-3103.
What is a dental crown?
A dental crown is a tooth-colored cap or covering of the outer surface of the tooth. It may be needed for a variety of reasons, such as a broken tooth, a cracked tooth, a worn-down tooth, or extensive decay to the crown of your tooth. Crowns fit tightly around the uppermost part of the root, look natural, and restore structural integrity, to let you bite and chew as you always have. We provide only the most life-like dental crowns, which are made locally in a Tempe, Arizona dental laboratory.
What materials are crowns made out of?
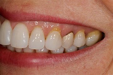
In the past, there were only two options for dental crowns, either gold or porcelain fused to metal (PFM), in which metal crowns wear a surrounding layer of porcelain to apear more natural. While the porcelain looked good, it was prone to chipping and the metal would shine through the porcelain, revealing a black line close to the gums. Look below, left, and you'll see the dark line around the tooth, near the gums.


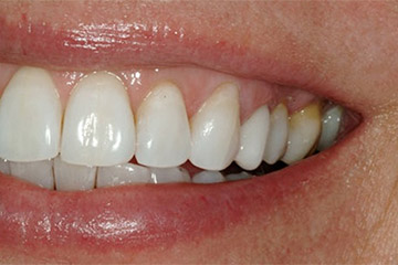
The materials used to make dental crowns have improved vastly in the last 10-15 years. Today, most dental crowns are composed entirely of durable porcelain (E.max crowns) to give you a replacement tooth that is strong and indistinguishable from your natural teeth. In the image above (right) the E.max porcelain crown shows no signs to differentiate it from the other visible teeth.
Crowns can also be composed entirely of zirconia, or laboratory-created diamond, These crowns are known as Bruxzir crowns, and are notably strong and life-like. Like E.max crowns, they are stronger and less likely to appear unnatural than PFM.
What can I expect at my crown appointment?
Two visits are needed for dental crowns. During the first visit we will reshape the tooth to prepare it for the transformation, and a mold will be sent to the dental laboratory, so they can begin making your new tooth. We will fit you with a temporary crown while the permanent one is crafted, so you can continue to eat and speak normally.At the second appointment, we will permanently affix the dental crown to your tooth with dental cement. In addition to the creating the crown to match your teeth, we also use different colors of cement to help lighten or darken the appearance of the crown in your mouth. Once the correct cement and shade is matched, the cement is sandwiched between the tooth and crown. A blue light is then used which releases a catalyst to harden the cement and bond the crown to the tooth. Excess cement is removed, and everything is smoothed and polished.
How much do crowns cost?
Dental crown costs usually range between $600–1300, depending on the tooth that needs restoring, and the type of crown that best fits your smile and bite. If you have dental insurance, usually at least 50% of the cost will be covered. Porcelain crowns cost more, due to the fact that placing them are more time consuming which typically translates to higher cost.
How is a bridge different from a crown?
Dental bridges follow the same process as that of dental crowns, but cover an existing gap, if a tooth has already been lost. For a bridge, the healthy teeth on either side of the lost tooth will receive crowns, which are linked together to stabilize teeth and restore chewing ability, despite the lost tooth. Dental bridges are an excellent way to restore a single lost tooth, if dental implants are not a preferred option for you.If you've been told you need a crown, or wish to improve the appearance of an existing crown, call our Tempe, Arizona dental office today at 480-838-3103 to make your appointment with Dr. LeSueur or Dr. Davis.

